Ο χρόνιος πόνος της πυέλου που διαρκεί περισσότερους από 6 μήνες.
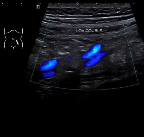
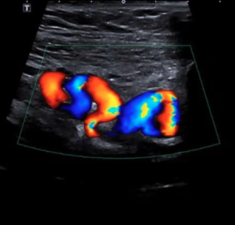
Το Σύνδρομο της Πυελικής Συμφόρησης (Pelvic Congestion Syndrome - PCS) είναι μια κατάσταση που σχετίζεται με την παροδική διαστολή και στρέβλωση των φλεβών στην περιοχή του πυελικού κάδου, κυρίως στη γυναικεία πληθυσμιακή ομάδα. Αν και δεν είναι τόσο γνωστό όσο άλλες φλεβικές διαταραχές, όπως οι κιρσοί στα πόδια, το Σύνδρομο της Πυελικής Συμφόρησης μπορεί να προκαλέσει αναστάτωση και δυσφορία.
Τα κύρια χαρακτηριστικά του Συνδρόμου της Πυελικής Συμφόρησης περιλαμβάνουν:
Πόνος: Ο πόνος συνήθως είναι χρονικός και σχετίζεται με την περίοδο. Ο πόνος μπορεί να είναι βαθύς, πυκνός και να επεκτείνεται από τον πυελικό κάδο έως τον κοιλιακό τοίχο.
Επιδείνωση κατά τη διάρκεια της στάσης ή κατά τη διάρκεια του σεξ: Οι γυναίκες με PCS μπορεί να εμπειρίζουν επιδείνωση του πόνου κατά τη διάρκεια μακράς στάσης ή κατά τη διάρκεια των σεξουαλικών ενεργειών.
Οίδημα: Οι φλέβες που είναι διατεταμένες μπορεί να προκαλέσουν οίδημα στην περιοχή του πυελικού κάδου.
Διαταραχές της κυκλοφορίας του αίματος: Οι ασθενείς μπορεί να εμφανίζουν ενδείξεις της φλεβικής συμφόρησης, όπως κιρσούς στον γεννητικό περιοχή.
Η ακριβής αιτία του Συνδρόμου της Πυελικής Συμφόρησης δεν είναι πάντα σαφής, αλλά ορισμένοι παράγοντες που συνδέονται με την εμφάνισή του περιλαμβάνουν τη γονιδιακή προδιάθεση, την εγκυμοσύνη και την ορμονική επίδραση. Η διάγνωση και η διαχείριση του Συνδρόμου της Πυελικής Συμφόρησης συνήθως ανήκουν στο πεδίο του γυναικολόγου και άλλων ειδικών υγείας.
Το ποσοστό των γυναικών που έχουν συμπτώματα πυελικής συμφόρησης μπορεί να αυξηθεί μετά από τη 2η εγκυμοσύνη. Στα γεννητικά όργανα και το περίνεο μπορεί να εμφανιστούν διατεταγμένες φλέβες, κιρσοί και πόνος μη περιόδου στην πύελο, καθώς και αίσθημα συνεχομένου βάρους.
Το σύνδρομο πυελικής συμφόρησης προκαλείται από την ανεπαρκή επαναφορά του φλεβικού συστήματος, αποτελώντας συνέπεια της φλεβικής στασιμότητας. Εξαιτίας της έλλειψης ροής του αίματος στις φλέβες της περιοχής του πελβικού ιστού, όπως στα γεννητικά όργανα, την ουροδόχο κύστη και το έντερο, το αίμα αντιμετωπίζει δυσκολία στην επαναφορά του, προκαλώντας πιθανώς την εμφάνιση κιρσών στα γεννητικά όργα και τα κάτω άκρα.
Στη θεραπεία του Συνδρόμου Πυελικής Συμφόρησης, όπως και στη διαγνωστική διερεύνηση, συμμετέχουν γυναικολόγος, αγγειοχειρουργός και επεμβατικός ακτινολόγος. Αφού έχουν διερευνηθεί και αντιμετωπιστεί ή αποκλειστεί άλλες παθήσεις που μπορεί να προκαλέσουν χρόνιο πυελικό πόνο και υπάρχουν ευρήματα από τις απεικονιστικές μεθόδους συμβατά με το Σύνδρομο Πυελικής Συμφόρησης, τότε προχωρούμε στον προγραμματισμό της εξατομικευμένης αντιμετώπισης για κάθε περίπτωση, η οποία μπορεί να είναι:
• Σε πρώιμο στάδιο, με συντηρητικές θεραπείες, όπως χρήση φλεβοτονικών φαρμάκων και ελαστικού καλσόν διαβαθμισμένης συμπίεσης.
• Με αναλγητική ή ορμονική θεραπεία, η οποία μπορεί να εξαλείψει ή να βοηθήσει στη μείωση των συμπτωμάτων.
Στην περίπτωση που οι κιρσοί εντοπίζονται εκτός του περινέου και των γεννητικών οργάνων ή στην περιοχή των γλουτών, χρησιμοποιείται η μέθοδος του σκληρυντικού αφρού χωρίς χειρουργείο (USGF sclerotherapy).