Παρουσία αθηροσκλήρωσης ή άλλων αγγειακών παθήσεων.
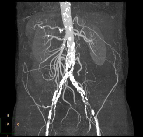
Η νόσος της αορτολαγόνιας περιοχής αναφέρεται στην παρουσία αθηροσκλήρωσης ή άλλων αγγειακών παθήσεων που επηρεάζουν την αορτή και τις λαγόνιες αρτηρίες.
Η αθηροσκλήρωση αφορά την επικάθιση λιπιδίων, χοληστερόλης και άλλων ουσιών στους εσωτερικούς τοίχους των αρτηριών, δημιουργώντας πλάκες. Στο πλαίσιο της νόσου της αορτολαγόνιας περιοχής, αυτές οι πλάκες αναπτύσσονται στην αορτή και τις λαγόνιες αρτηρίες, που αποτελούν σημαντικά αγγεία που μεταφέρουν αίμα από την καρδιά προς το κάτω μέρος του σώματος.
Η νόσος της αορτολαγόνιας περιοχής μπορεί να οδηγήσει σε στένωση ή φραγή των αρτηριών, μείωση της ροής του αίματος προς το λεκάνη και τα πόδια. Αυτή η κατάσταση μπορεί να οδηγήσει σε συμπτώματα όπως διαλείπουσα χολώτητα (πόνος ή κράμπες κατά τη διάρκεια φυσικής δραστηριότητας), αναψυχή ή αδυναμία στα πόδια.
Οι διαγνωστικές μεθόδοι για τη νόσο της αορτολαγόνιας περιοχής περιλαμβάνουν εικονολογικές εξετάσεις όπως αγγειογραφία, υπερήχος ή μαγνητική αγγειογραφία. Οι επιλογές θεραπείας μπορεί να περιλαμβάνουν αλλαγές στον τρόπο ζωής, φαρμακευτική αγωγή και, σε πιο σοβαρές περιπτώσεις, χειρουργικές επεμβάσεις όπως η αγγειοπλαστική ή η χειρουργική επέμβαση για την αποκατάσταση της κανονικής ροής του αίματος.